Pár tipů

Před zahájením jakékoliv složitější nebo rozsáhlejší protetické práce doporučujeme zhotovení studijních modelů a případně i zhotovení wax up. Dále doporučujeme u rekonstrukcí frontálního úseku a u celkových rekonstrukcí nejprve zhotovit provizorium ve tvaru definitivní práce. Proto je dobré nachystat finální preparaci již na provizorium. Dále sejmutí staré protetiky neznamená, že není potřeba upravovat preparaci.

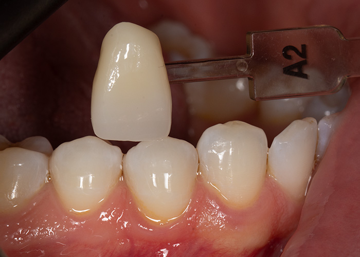
Výběr barvy

Výber barvyje nutné provést ještě před zahájením preparace, než dojde k vysušení zubů. Barvu vybírejte podle A-D vzorníku Ivoclar pro fasetované práce a emax. A pro monolitické zirkonové práce používejte vzorník Prettau Line.


Fotky

Fotky se vzorníkem je ideální dělat kolmo k objektivu vždy se stejným světlem.
Incize zubu a vzorníku jsou směrem k sobě.


Distální fotky

Fotky v distálním úseku provádějte tak, aby šla incize vzorníku vestibulárně a nebo byly incize k sobě.


Preparace

Červenou linkou jsou naznačeny nejčastější chyby v preparaci, jako je nedostatek místa na okluzi nebo bříško nad krčkovým uzávěrem. Dostatek místa si kontrolujeme jak ve skusu statickém, tak i dynamickém.


Chyby v preparaci

Často se setkáváme s pilířem vystupujícím ze zubního oblouku. Vizuálně si spojte hrbolky sousedních zubů. Tato spojnice vám ukáže, do jaké míry pilíř zredukovat ve vestibulo-orálním rozměru, tak aby korunka zapadla do zubořadí. Dostatek místa ve skusu si můžete zkontrolovat změřením skusového registrátu v nejslabším místě pomocí kaliperu.


Výběr barvy pilíře

Při zhotovování emax náhrad je vhodné vybrat barvu pilíře podle Natural Die vzorníku. U zirkonových náhrad stačí informovat laboratoř, jestli má pilíř barvu zubu, je značně diskolorovaný nebo je to případně kořenová nástavba. Podle toho pak laboratoř určí, jaký typ zirkonu se použije.


Skusové registráty

Materiál na skusové registráty dáváme pouze v místě pilíře, a můžeme si tak zkontrolovat správný skus ve zbytku zubního oblouku. Materiál doporučujeme například LuxaBite, případně Occlufast rock.


Volba materiálu

Při výběru materálu je třeba zhodnotit několik faktorů, jako je způsob tmelení, rozsah práce nebo barva pahýlu. Při možnosti adhesivního tmelení ve sklovině, malého rozsahu práce a zajištění suchého pracovního pole se nabízí emax. Při konvenčním tmelení už se více hodí zirkon jak na sólo práce, tak i můstky. Na rozsáhlé můstky s velkým počtem mezičlenů se hodí metalokeramika.


Jig

Při zhotovování celkových rekonstrukcí a nákusných dlah doporučujeme registraci v centric relation pomocí jigu.


Cementace zirkonu

Vyzkoušením práce v ústech dojde ke kontaminaci a narušení vazby. Je proto nutné práci vyčistit například pomocí Ivoclean nebo Katana cleaner. Kyselina fosforečná na očištění zirkonu nefunguje. Nedodržení očištění konstrukce má za následek decementaci práce a následné praskání můstkových konstrukcí!!!




Adresa


Durďákova 48, Brno 602 00

Telefon


739 178 707